brush365 Dental Injury
We specialize exclusively in diagnosing, documenting, and treating dental injuries caused by accidents.
Who We Are
Focused Dental Injury Care for Personal Injury Cases
brush365 Dental Injury (BDI) is a specialized dental care division dedicated exclusively to the diagnosis, treatment, and documentation of dental injuries caused by accidents.
Our licensed dental professionals provide comprehensive clinical evaluations, advanced dental imaging, and personalized treatment plans for patients who have suffered tooth fractures, jaw injuries, bite trauma, and other accident-related dental conditions.
We focus first on proper dental care and recovery, ensuring every injury is accurately assessed and treated according to clinical best practices. Our team also prepares clear, detailed dental records and reports that support continuity of care and, when needed, personal injury cases.
With a deep understanding of both clinical dentistry and injury-related documentation, BDI ensures patients receive the dental treatment they need, while maintaining precise records that protect outcomes and long-term oral health.
How We Treat Dental Injuries
Specialized dental injury care with Letter of Protection (LOP) support.
Dental injuries can happen suddenly, from car accidents, sports injuries, or work-related incidents. At brush365 Dental Injury, we focus on delivering expert dental trauma care while making the process as smooth and stress-free as possible, including cases handled under a Letter of Protection (LOP).
We work closely with personal injury attorneys and case managers to ensure treatment and documentation are handled promptly and professionally.
Step 1: Comprehensive Assessment
We begin with a detailed evaluation to determine the full extent of your injury. This includes assessing fractured or broken teeth, bone trauma, and soft tissue damage. If a tooth has been knocked out, our team will evaluate whether reimplantation is possible and discuss appropriate treatment options such as bonding, root canal therapy, or dental implants.
Step 2: Treatment & Stabilization
Once diagnosed, we focus on stabilizing the injury and restoring oral health. Treatment may include splinting or repositioning teeth, repairing soft tissue injuries, or replacing missing teeth. We also provide clear at-home care guidance to support proper healing.
Step 3: Documentation for Personal Injury Cases
For patients treated under a Letter of Protection, accurate and timely documentation is critical. Our team carefully records diagnostics, imaging, and treatment details to support insurance or legal claims. We coordinate directly with attorneys to ensure records are complete and compliant.
Don’t have an attorney yet?
Our team can help connect you with an experienced personal injury attorney familiar with dental trauma cases.
Are you an attorney referring a patient?
Please contact us at bdi@brush365dental.com
Why Choose brush365 Dental Injury
- Multiple DFW locations to serve patients across Texas
- Above industry-standard documentation protocols
- Virtual dental injury exams available
- Dedicated team with years of experience in personal injury care
- Completed cases with 50+ attorneys across Texas
Dental injuries are often overlooked after accidents. Our team provides focused evaluations and documentation designed specifically for personal injury cases, supporting both patient care and case clarity.
New Patients Should Choose ‘BDI brush365 Dental Injury Consultation’.
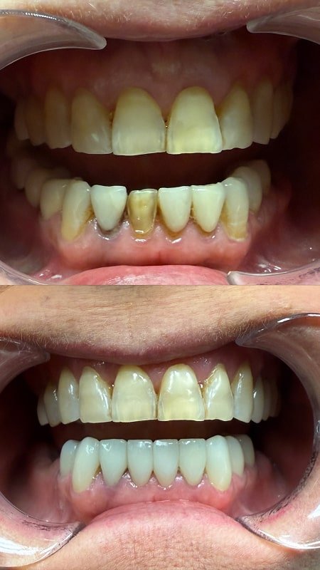
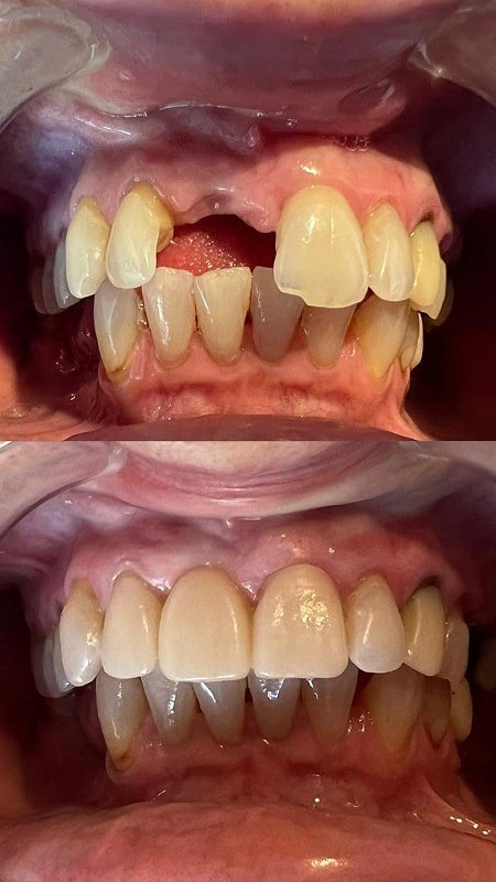
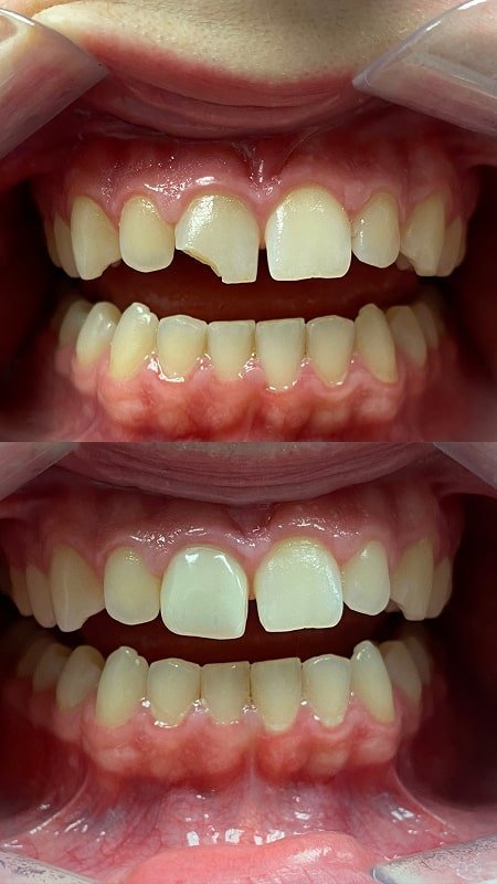
See the Results for Yourself!
Teeth Knocked Out in an Accident - Replaced with Esthetic Porcelain Bridge
Tooth Fell Out in a Car Accident - Replaced with Porcelain Bridge
Slip and Fall Damaged Teeth - Repaired With Cosmetic Bonding
Lower Arch Broken Veneers in an Accident - Replaced by brush365 Dental Injury
Cracked Tooth in a Motorcycle Accident - Repaired with a Single Veneer
Fractured Teeth From Trip and Fall - Replaced with Porcelain Veneers
Broken Teeth from a Car Accident - Repaired with Porcelain Crowns and Bridges
Broken Tooth in a Car Accident - Repaired with Cosmetic Bonding
Broken Tooth in an Assault – Repaired with Cosmetic and Restorative Treatment
What Makes BDI Different
Dental injury care requires more than routine dentistry.
brush365 Dental Injury is built specifically to treat accident-related dental trauma, not cosmetic or routine dental visits. Our focus is on fast evaluation, proper stabilization, and accurate documentation, all under one coordinated system.
Unlike general dental offices, we understand the added complexity of personal injury cases. That’s why we combine specialized dental trauma care, advanced imaging, and PI-aware documentation to support both recovery and continuity of care.
From the first exam to final records, BDI delivers clarity, efficiency, and confidence for patients and referring professionals alike.
BDI Connect Networking Lunch
BDI Connect is our in-person networking lunch designed to bring together attorneys, medical providers, imaging centers, and funding partners involved in personal injury care.
Build relationships, share insights, and grow your professional network in a relaxed, collaborative environment.
Supporting the Personal Injury Community Across Texas
We proudly support dental injury cases throughout DFW and across Texas, coordinating care and documentation that meets the demands of personal injury litigation.
We proudly work with:
Injured patients
Personal injury attorneys
Medical providers
Imaging centers
Funding companies
Rehabilitation and specialty providers
Our focus is consistent, professional coordination at every step.
Follow Our Community
Stay connected with brush365 Dental Injury through our social channels for events, education, and updates.
BDI Arlington
BDI Frisco
BDI Hurst
BDI McKinney
- 1550 S. Custer Road #100, Mckinney, TX 75072
Click a location to view map